Blue Pearl Dental Care Presents

One day to discover
your perfect smile.

Join us for a day of free consultations, live demonstrations, and honest conversations, featuring composite bonding, smile design, dental implants, orthodontic braces, and All-on-4.

Free Consultation Free Teeth Whitening Over £1,190 in free extras
Saturday 25th April 2026
-- Days
-- Hours
-- Mins
Only 4 spaces left
Blue Pearl Dental Care practice
4.9 Google Rating
500+ Reviews
13,000+ Patients
30+ Years Experience

Our Open Day is unlike any dental visit you've had before.

Open Day 2026

Five treatments. One extraordinary day.

What's included

A private, one-to-one consultation with one of our specialists, along with an exclusive package of benefits unavailable anywhere else.

Places are limited

A fully refundable £30 deposit reserves your place, returned to you in full on the day, no questions asked.

Composite bonding result, Blue Pearl Dental Care

Composite Bonding

Transform chipped, gapped or discoloured teeth in a single visit, no drilling, no anaesthetic. Our clinicians hand-sculpt tooth-coloured resin directly onto your teeth, crafting a result that looks and feels entirely your own.

  • Free one-to-one consultation worth £65
  • Professional take-home whitening included with treatment worth £440
  • Vivera retainers included with treatment worth £570
  • Free iTero digital smile scan worth £115
Reserve my place
Young woman smiling with orthodontic braces

Orthodontic Braces

Discreet, modern orthodontics for every degree of crowding and misalignment. We'll map your entire smile journey from day one, and with your iTero digital scan, you'll see exactly where you're headed before a single brace is placed.

  • Free one-to-one consultation worth £65
  • Professional take-home whitening included with treatment worth £440
  • Vivera retainers included with treatment worth £570
  • Free iTero digital smile scan worth £115
Reserve my place
Dental implant treatment at Blue Pearl Dental Care

Dental Implants

The gold standard in tooth replacement, a permanent, natural-feeling solution that preserves your bone and restores full function. Every stage is handled in-house by our specialist team, from your very first conversation to your final smile.

  • Free one-to-one consultation worth £65
  • Professional take-home whitening included with treatment worth £440
  • Complimentary CBCT scan for precise treatment planning worth £130
  • Free iTero digital smile scan worth £115
Reserve my place
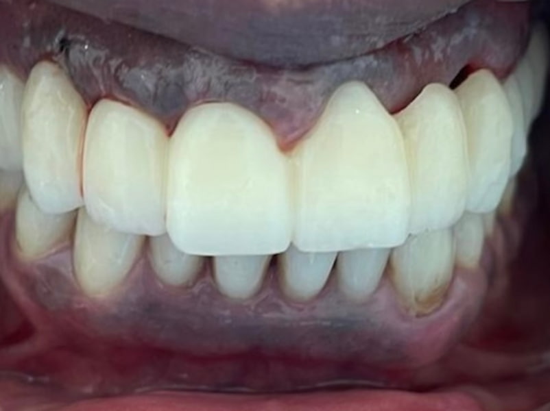
Smile design with porcelain veneers at Blue Pearl Dental Care

Smile Design

Smile design is the art of crafting your perfect smile from the ground up, every proportion, shade, and contour considered as a whole. Using ultra-thin porcelain veneers and precision-crafted crowns, we reshape, restore, and reimagine your teeth into a result that is unmistakably beautiful, yet entirely your own.

  • Free one-to-one consultation worth £65
  • Professional take-home whitening included with treatment worth £440
  • Vivera retainers included with treatment worth £570
  • Free iTero digital smile scan worth £115
Reserve my place
All-on-4 dental implants at Blue Pearl Dental Care

All-on-4 Implants

A complete, fixed smile supported by just four implants, no loose dentures, no bone grafts in most cases. Walk in with missing or failing teeth, and leave with the confidence of a full arch that looks, feels, and performs like your own.

  • Free one-to-one consultation worth £65
  • Professional take-home whitening included with treatment worth £440
  • Complimentary CBCT scan for precise treatment planning worth £130
  • Free iTero digital smile scan worth £115
Reserve my place
Real Patient Results

Proof that speaks
for itself.

Every case you see here belongs to a real patient treated by our team, no filters, no composites, no stock photography. What you see is exactly what our clinicians achieve.

See What We Can Do For You
Your Open Day Experience

What happens on the day

From the moment you walk through the door to the moment you leave, here's exactly what to expect.

Reserve Your Place

RSVP online and secure your spot with a £30 fully refundable deposit, returned to you in full on the day.

Arrive & Feel Welcome

Walk into a relaxed, modern practice. Our team greets you, shows you around, and makes sure you feel completely at ease, no rushing, ever.

Your iTero Smile Scan

We capture a precise 3D digital scan of your teeth and show you a simulation of your new smile, before any treatment begins. Worth £115

Meet Your Clinician

One-to-one, unhurried time with your specialist. Ask anything, explore your options, and get honest expert guidance. Worth £65

Leave with Your Plan

Walk away with a personalised treatment plan and a clear investment breakdown. Professional take-home whitening and Vivera retainers are included as part of your treatment — built into what you receive when you proceed. Worth £1,010 combined

Reserve My Place
On The Day

See your new smile —
before treatment even begins.

Come and spend time with our team, explore your options in a relaxed and welcoming environment, and walk away with a clear, personalised plan for the smile you've always wanted, entirely free of charge. Places are strictly limited.

Private Consultation

Unhurried, one-to-one time with your clinician. Ask anything, explore everything, completely free, worth £65.

iTero Smile Preview

See a digital simulation of your new smile in real time using our cutting-edge scanner, free on the day, worth £115.

Exclusive Open Day Offers

Professional take-home whitening (worth £440) and Vivera retainers (worth £570) included with your treatment — over £1,000 in extras, plus special Open Day pricing available to attendees only.

Reserve My Spot

No obligation  ·  No commitment
Just a conversation

Our Promise

Why Blue Pearl?

Over 13,000 patients have trusted us with their smiles. Here's what sets us apart.

Specialist-Led Care

Every treatment is delivered in-house, you'll see the same trusted clinicians from first consultation through to your final result.

Cutting-Edge Technology

CBCT 3D imaging, iTero digital impressions, and digital smile design, we plan with precision and show you your results before treatment begins.

Trusted by 13,000+ Patients

North London's most trusted dental practice, 13,000 patients and a 4.9-star Google rating built on real results.

4.9 ★ Google Rating

We Speak Your Language

Our multilingual team speaks English, Spanish, and Portuguese, so you always feel heard, whatever your background.

English · Español · Português

Flexible Finance

0% finance for up to 12 months, or spread the cost over up to 60 months at 9.9% APR representative, your smile, on your terms.

0% · 12 months interest-free

No Pressure. Ever.

Every consultation is honest, unhurried, and obligation-free. We inform, the decision is always yours.

* 0% finance subject to status and approval. Representative example for extended plans: 9.9% APR, based on a loan amount of £1,000 over 60 months. Finance provided by a third-party lender. Terms and conditions apply.

Dr Jesus Orozco, Lead Dentist at Blue Pearl Dental Care
Lead Clinician

Dr Jesus Orozco

"Thirty years of practice across five disciplines, built on the belief that every patient deserves the very best of what modern dentistry can offer."

BDS Qualified in Dental Surgery, over 30 years of clinical practice
1998 Post-graduate training in Endodontics
2001 Advanced study in Cosmetic Dentistry & Prosthodontics
2011 Implantology training, qualified, Cambridge Academy of Dental Implantology
2013 Second dental degree, European University of Madrid
2014 Master's degree in Orthodontics
2018 Invisalign certified provider
2024 Diamond Invisalign Provider, the highest tier of Invisalign certification
1,000+ implant cases performed
by Dr Orozco personally
0 Patients & Counting
0 Google Rating
0 Spoken by Our Team
0 Up to 12 Months
Patient Stories

Real smiles. Real results.

★★★★★  4.9 out of 5 · 289 Google Reviews

Before You Register

Questions we get asked
all the time.

Is the consultation really free?

Yes, completely. Every consultation at our Open Day is complimentary, including a smile assessment and iTero digital scan (worth £115). When you proceed with treatment, professional take-home whitening (worth £440) and Vivera retainers (worth £570) are also included — over £1,190 in total value. There is no catch and no obligation to proceed.

What is the £30 deposit for?

The £30 deposit is simply to secure your slot if you book directly online. It is fully refunded to you on the day, no questions asked. Alternatively, just fill in the form below and our team will be in touch to confirm your place — no deposit needed to register your interest.

What treatments can I discuss?

Our specialists will be available to discuss composite bonding, smile design, Invisalign and orthodontic braces, dental implants, and All-on-4 full-arch implants. Not sure which is right for you? That is absolutely fine — our team will help you understand your options.

How long does the consultation take?

Typically 30 to 45 minutes. You will have a one-to-one conversation with a specialist, a digital scan, and time to ask anything you like. You are welcome to stay longer, walk around the practice, and meet the team.

Do I need to be an existing patient?

Not at all. Our Open Day is open to everyone, whether you are a current patient or have never visited us before. We would love to meet you.

What if I cannot make it on the day?

Life happens. Just let us know as soon as possible and we will release your slot to someone on the waiting list. If you paid a deposit online, it will be refunded in full.

Can I bring someone with me?

Yes, you are very welcome to bring a friend or family member. Many people find it helpful to have someone with them when discussing treatment options.

Is there parking nearby?

Yes. There is on-street parking on Seven Sisters Road and surrounding streets on Saturdays. We are also a short walk from Holloway Road and Finsbury Park underground stations.

RSVP

Secure your place
at Open Day.

Consultations on the day are strictly limited. Register now to guarantee your place and tell us which treatment you'd like to explore, our team will make sure the right specialist is available for you.

When Saturday 25th April 2026
Where 126A Seven Sisters Road, London N7 7NS
Your complimentary Open Day package worth up to £1,190
See what's included →
Only 4 spaces left

Register below and our team will be in touch to confirm your place. Prefer to book directly? You can also reserve online with a £30 refundable deposit, returned to you in full on the day.

Rated 4.9 on Google by 500+ patients












    Not sure where to start? Just write how you're feeling — our team will take it from there.

    or

    Book Directly Online — £30 Refundable Deposit

    Your details are used solely to confirm your place at Open Day and will not be shared with third parties. Privacy Policy.

    Previous Next
    Close
    Test Caption
    Test Description goes like this
    × Whatsapp Chat